Zadzwoń +48 122 603 030

Najważniejsze informacje o licówkach

Czym są licówki?

Licówki to ultracienkie, tworzone na indywidualne zamówienie nakładki – najczęściej z wysokiej jakości porcelany lub kompozytu – które delikatnie mocujemy na przedniej powierzchni zębów. To nowoczesne rozwiązanie pozwala poprawić estetykę zębów, chroniąc ich naturalną strukturę. Licówki pozwalają precyzyjnie skorygować kolor, długość i kształt zębów, a także zniwelować drobne nierówności. 

Jakie problemy rozwiązują licówki?

Licówki stosuje się w celu poprawy estetyki uśmiechu w wielu sytuacjach. Najczęstsze wskazania obejmują przebarwienia zębów, które nie reagują na wybielanie, nierówności w ich kształcie, ukruszenia oraz drobne uszkodzenia szkliwa.

Rozwiązują również problem diastem (przerw między zębami), niewielkich rotacji czy różnic w długości zębów. Dzięki licówkom możliwe jest uzyskanie spójnego, estetycznego wyglądu uzębienia bez konieczności długotrwałego leczenia.

Dla kogo przeznaczone są licówki?

Licówki zębowe przeznaczone są dla osób dorosłych, które chcą poprawić estetykę swojego uśmiechu. Sprawdzają się u Pacjentów z dobrym stanem zdrowia jamy ustnej, u których nie występują zaawansowane choroby przyzębia ani rozległe ubytki wymagające leczenia zachowawczego.

Rozwiązanie to jest szczególnie polecane osobom oczekującym szybkiej i przewidywalnej poprawy wyglądu zębów przy zachowaniu naturalnego efektu.

Umów konsultację

Umów się na wizytę już teraz!

Wypełnij poniższy formularz, a skontaktujemy się z Tobą aby wspólnie znaleźć dogodny dla Ciebie termin wizyty!

    Korzyści zastosowania licówek

    Poprawa estetyki uśmiechu wpływa nie tylko na wygląd, ale również na codzienne samopoczucie i pewność siebie.

    Licówki przynoszą wiele korzyści, w tym:

    • Poprawa koloru zębów i eliminacja trwałych przebarwień.
    • Korekta kształtu oraz proporcji zębów.
    • Możliwość zamknięcia przerw między zębami.
    • Naturalny efekt estetyczny dopasowany do rysów twarzy.
    • Gładka powierzchnia ułatwiająca utrzymanie higieny jamy ustnej.
    • Trwałość i odporność na przebarwienia (w przypadku licówek porcelanowych).
    • Natychmiastowa poprawa wyglądu uśmiechu po zakończeniu leczenia.
    Umów konsultację

    Etapy wykonania licówek w Nie Boli Kraków

    Konsultacja i planowanie leczenia

    Konsultacja i planowanie leczenia

    Leczenie rozpoczyna się od wizyty konsultacyjnej. Lekarz ocenia stan uzębienia, analizuje estetykę uśmiechu oraz oczekiwania Pacjenta. W razie potrzeby wykonywane są badania diagnostyczne oraz planowane jest wcześniejsze leczenie przygotowawcze, np. higienizacja lub leczenie ubytków. Na tej podstawie tworzony jest indywidualny plan leczenia oraz projekt przyszłego uśmiechu.

    Przygotowanie zębów

    Przygotowanie zębów

    W kolejnym etapie zęby są odpowiednio przygotowywane do wykonania licówek. W zależności od wybranej metody może to obejmować minimalne opracowanie powierzchni szkliwa. Następnie pobierany jest wycisk lub skan cyfrowy, na podstawie którego wykonywane są licówki dopasowane do uzębienia Pacjenta.

    Przymiarka i cementowanie licówek

    Przymiarka i cementowanie licówek

    Gotowe licówki są najpierw przymierzane, aby ocenić ich kształt, kolor oraz dopasowanie. Po akceptacji przez Pacjenta następuje ich trwałe zamocowanie na zębach przy użyciu specjalnych materiałów adhezyjnych. Efekt jest natychmiast widoczny i pozwala uzyskać estetyczny, naturalny uśmiech.

    Kontrola i zalecenia

    Kontrola i zalecenia

    Po zakończeniu leczenia Pacjent otrzymuje szczegółowe zalecenia dotyczące higieny oraz użytkowania licówek. Regularne wizyty kontrolne pozwalają utrzymać ich trwałość i estetykę przez długi czas.

    Tą dziedziną stomatologii zajmuje się:

    Paweł Grzegorczyk

    Ukończył studia na wydziale Lekarsko - Dentystycznym Collegium Medicum Uniwersytetu Jagiellońskiego w 2001 r. Pierwsze kroki zawodowe stawiał pod okiem…

    Agnieszka Kareł-Szklarska

    Dyplom ukończenia kierunku Lekarsko-Dentystycznego Collegium Medicum Uniwersytetu Jagiellońskiego uzyskała w 2012 roku. Staż podyplomowy ukończyła w jednej z krakowskich prywatnych…

    Paulina Kojat

    Absolwentka kierunku Lekarsko-Dentystycznego Collegium Medicum Uniwersytetu Jagiellońskiego. Staż podyplomowy odbyła w 5 Wojskowym Szpitalu Klinicznym w Krakowie. Obecnie jest także…

    Rodzaje licówek w ofercie Nie Boli

    W ofercie dostępne są różne rodzaje licówek, dobierane indywidualnie do potrzeb Pacjenta.

    Licówki porcelanowe

    Licówki porcelanowe

    Licówki porcelanowe to rozwiązanie charakteryzujące się wysoką estetyką oraz trwałością. Materiał ten doskonale imituje naturalne szkliwo, odbijając światło w sposób zbliżony do naturalnych zębów. Są odporne na przebarwienia i pozwalają uzyskać długotrwały efekt estetyczny.

    Licówki kompozytowe

    Licówki kompozytowe

    Licówki kompozytowe wykonywane są bezpośrednio na zębie podczas wizyty. Pozwalają na szybką poprawę estetyki uśmiechu i są mniej inwazyjne. To rozwiązanie często wybierane przez Pacjentów, którzy oczekują natychmiastowego efektu przy mniejszym zakresie ingerencji.

    Metamorfozy uśmiechu

    Uśmiechy przed i po

    Poznaj historie naszych Pacjentów i zobacz, jak zmienia się uśmiech dzięki nowoczesnemu leczeniu stomatologicznemu. Każdy przypadek to indywidualna droga – od pierwszej konsultacji po efekt końcowy. Sprawdź, jak w gabinecie Nie Boli pomagamy odzyskać zdrowie, komfort i pewność siebie.

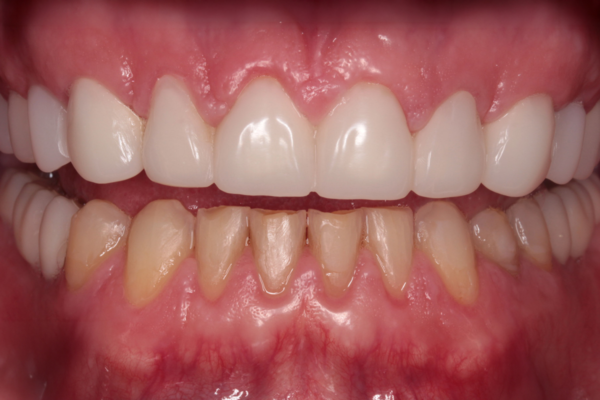
    Po
    Przed

    Pan Michał

    Pan Michał zwrócił się do nas z problemem braków zębowych oraz niezadowalającą estetyką uśmiechu. Zależało mu na rozwiązaniu, które przywróci zarówno pełną funkcję, jak i naturalny, harmonijny wygląd zębów. W pierwszym etapie wykonaliśmy leczenie imp...
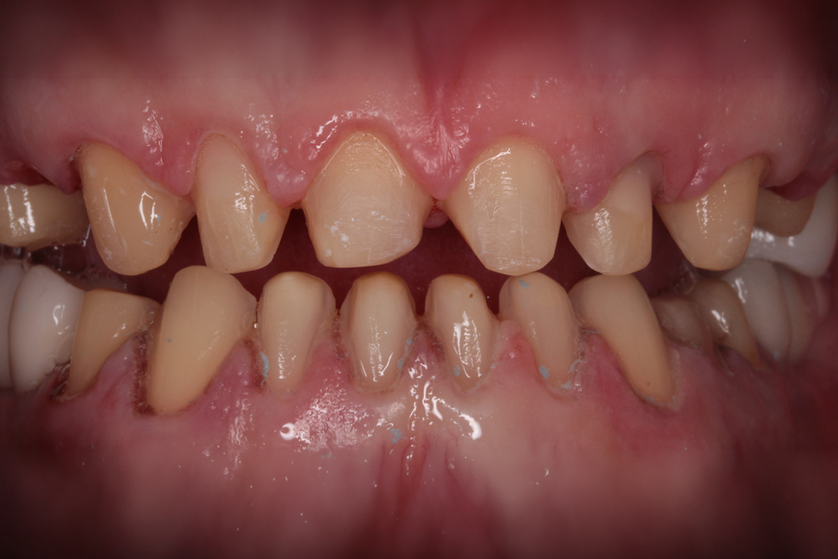
    Po
    Przed

    Pani Monika

    Pani Monika zgłosiła się do gabinetu z problemem braków zębowych oraz niezadowalającą estetyką uśmiechu. Zależało jej na kompleksowym leczeniu, które pozwoli nie tylko uzupełnić braki, ale także poprawić ogólny wygląd zębów w sposób naturalny i trwał...

    Umów się na konsultację

    Jeśli rozważasz poprawę estetyki swojego uśmiechu, pierwszym krokiem jest konsultacja. Podczas wizyty lekarz oceni stan uzębienia, omówi możliwe rozwiązania i zaproponuje plan leczenia dopasowany do Twoich oczekiwań.

    Umów się na wizytę i sprawdź, czy licówki są odpowiednim rozwiązaniem w Twoim przypadku. Wypełnij formularz kontaktowy lub zadzwoń pod numer telefonu +48 122 603 030.

    Umów się na wizytę już teraz!

    Wypełnij poniższy formularz, a skontaktujemy się z Tobą aby wspólnie znaleźć dogodny dla Ciebie termin wizyty!

      Nie Boli Kraków

      Przeczytaj opinie naszych Pacjentów

      Najlepszą rekomendacją są słowa naszych Pacjentów. To ich doświadczenia i opinie budują nasze zaufanie – nie obietnice. Przeczytaj, jak oceniają leczenie, opiekę oraz atmosferę w Nie Boli i przekonaj się, dlaczego wracają do nas od lat.

      Cennik

      Licówki kompozytowe i porcelanowe pozwalają poprawić wygląd przednich zębów – ich kolor, kształt oraz proporcje. To rozwiązanie stosowane w sytuacjach, gdy Pacjent chce zmienić estetykę uśmiechu w sposób trwały i przewidywalny.

      Licówka porcelanowa EMAX 2 600 zł
      Nowoczesna stomatologia – Nie Boli Kraków

      Dlaczego Pacjenci nas wybierają?

      Stawiamy na nowoczesną stomatologię opartą na doświadczeniu, precyzyjnej diagnostyce i indywidualnym planowaniu leczenia. Każdy przypadek analizujemy kompleksowo – z uwzględnieniem funkcji, zdrowia i estetyki uśmiechu. Leczenie prowadzimy w oparciu o sprawdzone protokoły oraz zaawansowane technologie, co pozwala osiągać przewidywalne i trwałe efekty.

      Ponad 20 lat doświadczenia Zaufały nam już tysiące Pacjentów z całego regionu
      Znieczulenie komputerowe Leczenie bez bólu i stresu, nawet dla najbardziej wrażliwych Pacjentów
      Lekarze dentyści ze specjalizacją Eksperci stale podnoszący swoje kwalifikacje
      Kompleksowa diagnostyka 3D Nowoczesne badania bez wychodzenia z gabinetu

      Umów się na wizytę już teraz!

      Wypełnij poniższy formularz, a skontaktujemy się z Tobą aby wspólnie znaleźć dogodny dla Ciebie termin wizyty!

        Najczęściej
        zadawane pytania

        Jakie są dostępne rodzaje licówek w naszym gabinecie w Krakowie? W naszym gabinecie w Krakowie dostępne są różne rodzaje licówek, dobierane indywidualnie do potrzeb Pacjenta oraz oczekiwanego efektu estetycznego. Najczęściej stosujemy licówki porcelanowe oraz kompozytowe. Licówki porcelanowe wyróżniają się wysoką trwałością, odpornością na przebarwienia i bardzo naturalnym wyglądem, natomiast licówki kompozytowe pozwalają na szybszą i mniej inwazyjną poprawę estetyki uśmiechu.
        Ile trwa wykonanie licówek? Czas leczenia zależy od wybranej metody. W przypadku licówek kompozytowych efekt można uzyskać nawet podczas jednej wizyty, natomiast licówki porcelanowe wymagają zazwyczaj kilku spotkań.
        Czy do licówek trzeba spiłować zęby? W wielu przypadkach przed założeniem licówek konieczne jest minimalne oszlifowanie powierzchni zębów, aby licówki mogły zostać prawidłowo dopasowane i wyglądały naturalnie. Zakres preparacji zależy od rodzaju licówek oraz wyjściowego ustawienia zębów. W niektórych sytuacjach możliwe jest zastosowanie licówek bez szlifowania lub z bardzo niewielką ingerencją w szkliwo.
        Czy licówki wyglądają naturalnie? Tak. Licówki zębowe są projektowane indywidualnie dla każdego Pacjenta, dzięki czemu ich kolor, kształt i proporcje są dopasowane do naturalnego uzębienia oraz rysów twarzy.
        Czy założenie licówek jest bolesne? Procedura jest komfortowa dla Pacjenta. W razie potrzeby stosowane jest znieczulenie miejscowe, które eliminuje ewentualny dyskomfort.
        Jak długo utrzymują się licówki? Trwałość licówek zależy od materiału oraz higieny jamy ustnej. Licówki porcelanowe mogą służyć przez wiele lat przy odpowiedniej pielęgnacji i regularnych wizytach kontrolnych.
        Czy zęby pod licówkami się psują? Same licówki nie powodują psucia się zębów, jednak zęby pod licówkami nadal wymagają prawidłowej higieny i regularnych kontroli stomatologicznych. Próchnica może pojawić się szczególnie na granicy licówki i zęba, jeśli higiena jamy ustnej jest niewystarczająca. Regularne szczotkowanie, nitkowanie oraz wizyty kontrolne pomagają utrzymać zdrowie zębów i trwałość licówek przez wiele lat.

        Nadal szukasz odpowiedzi?

        Umów konsultację