Metamorfozy uśmiechu
Poznaj historie naszych Pacjentów i zobacz, jak zmienia się uśmiech dzięki nowoczesnemu leczeniu stomatologicznemu. Każdy przypadek to indywidualna droga – od pierwszej konsultacji po efekt końcowy. Sprawdź, jak w gabinecie Nie Boli pomagamy odzyskać zdrowie, komfort i pewność siebie.
Pani Anna
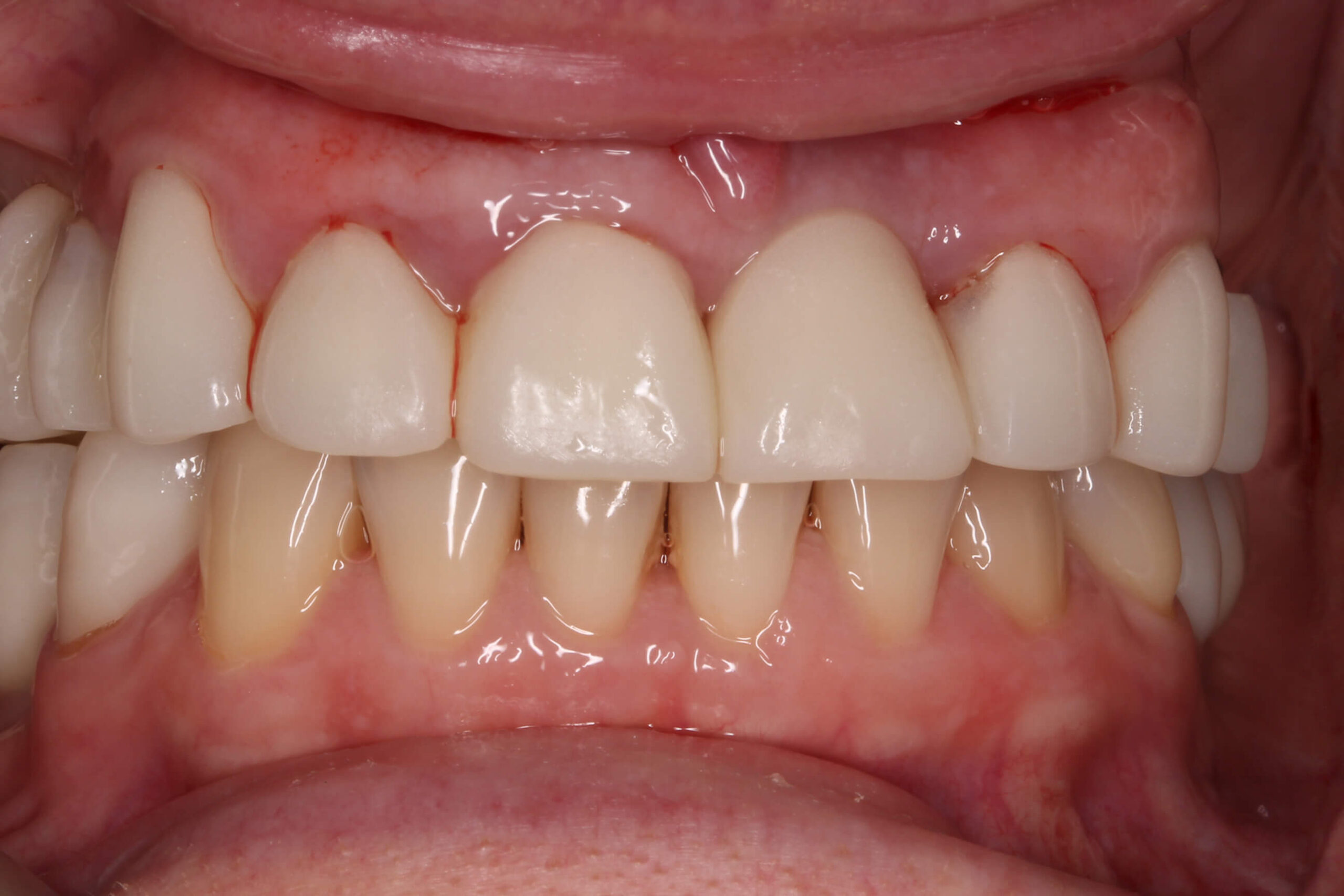
Pani Anna zgłosiła się do nas z problemami, które narastały z czasem – ból jednego z zębów oraz braki w odcinku bocznym łuku, które zaczęły wpływać na komfort jedzenia i codzienne funkcjonowanie. Z pozoru pojedynczy problem okazał się częścią większej potrzeby odbudowy całego fragmentu uzębienia.
W pierwszym etapie przeprowadzono leczenie endodontyczne (kanałowe), aby uratować ząb i wyeliminować źródło bólu. Następnie, ze względu na warunki kostne, wykonano regenerację kości, przygotowując podłoże do dalszego leczenia implantologicznego.
Kolejnym krokiem było zabiegowe wszczepienie implantów, które stały się stabilnym fundamentem pod odbudowę brakujących zębów. Po okresie gojenia wykonaliśmy pełną odbudowę protetyczną, przywracając prawidłową funkcję żucia oraz estetykę uśmiechu.
Efekt leczenia to nie tylko usunięcie bólu, ale przede wszystkim odzyskanie komfortu jedzenia i pewności, że zęby są stabilne i trwałe. Pani Anna może dziś swobodnie uśmiechać się i funkcjonować bez obaw o brakujące zęby.
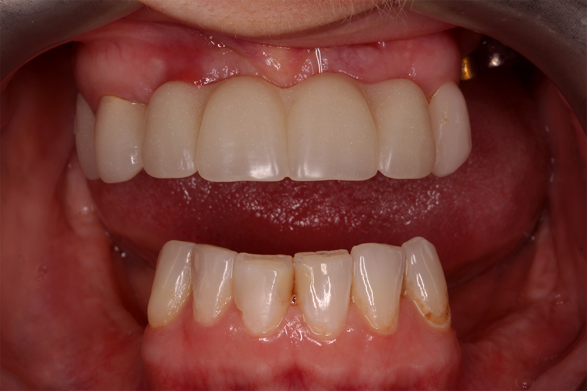
Pan Michał
Pan Michał zwrócił się do nas z problemem braków zębowych oraz niezadowalającą estetyką uśmiechu. Zależało mu na rozwiązaniu, które przywróci zarówno pełną funkcję, jak i naturalny, harmonijny wygląd zębów.
W pierwszym etapie wykonaliśmy leczenie implantologiczne, które pozwoliło uzupełnić brakujące zęby i stworzyć stabilną podstawę dla dalszej odbudowy. Następnie przystąpiliśmy do części protetycznej, w ramach której wykonaliśmy korony oraz licówki porcelanowe, precyzyjnie dopasowane do kształtu i koloru naturalnych zębów Pacjenta.
Efekt końcowy to spójny, estetyczny uśmiech oraz pełna funkcjonalność uzębienia. Dzięki połączeniu implantologii i protetyki Pan Michał odzyskał komfort jedzenia, pewność w codziennych sytuacjach oraz naturalny wygląd zębów, które harmonijnie wpisują się w rysy twarzy.
Pani Joanna
Pani Joanna zgłosiła się do gabinetu z potrzebą odbudowy braków zębowych, jednak warunki kostne w górnym odcinku nie pozwalały na natychmiastowe wszczepienie implantów. Kluczowe było więc przygotowanie odpowiedniego podłoża, które umożliwi bezpieczne i trwałe leczenie.
W pierwszym etapie wykonaliśmy regenerację kości oraz podniesienie dna zatoki szczękowej, co pozwoliło odbudować utracone struktury i stworzyć stabilne warunki dla implantów. Następnie przeprowadzono zabieg implantacji, precyzyjnie osadzając implanty w przygotowanym wcześniej obszarze.
Po okresie gojenia wykonaliśmy pełną odbudowę protetyczną, przywracając prawidłową funkcję żucia oraz estetykę uśmiechu. Uzupełnienia zostały dopasowane tak, aby wyglądały naturalnie i harmonijnie współgrały z pozostałymi zębami.
Efekt leczenia to stabilny, funkcjonalny i estetyczny uśmiech, który pozwala Pani Joannie swobodnie jeść, mówić i uśmiechać się bez ograniczeń.
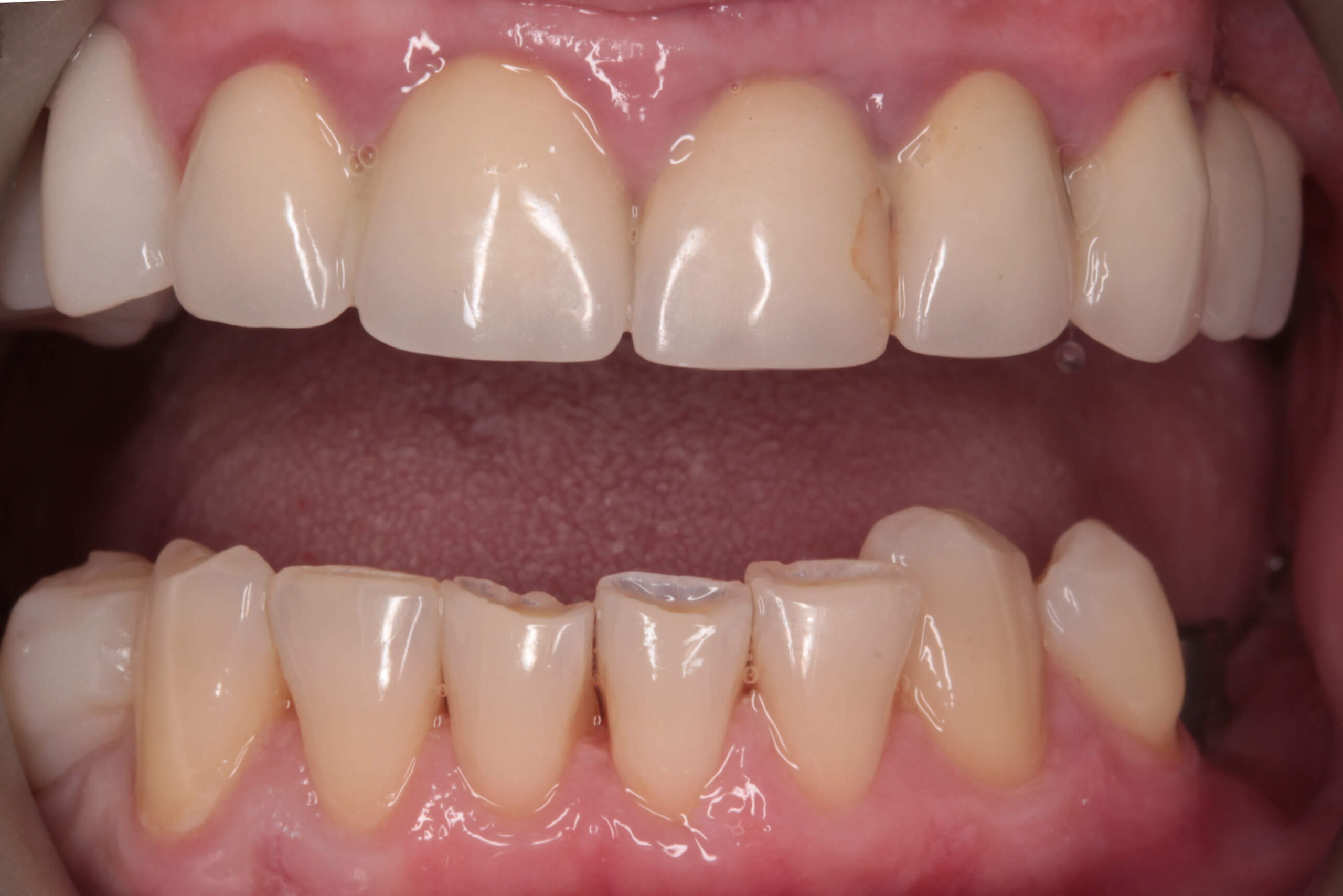
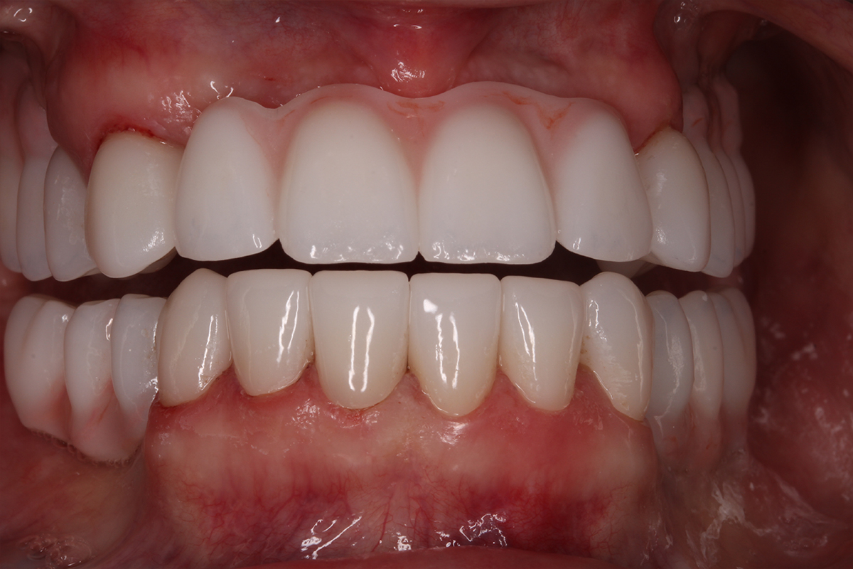
Pani Katarzyna
Pani Katarzyna zgłosiła się do gabinetu z potrzebą kompleksowego leczenia stomatologicznego, obejmującego zarówno zęby wymagające leczenia, jak i braki wymagające odbudowy. Zależało jej na trwałym efekcie, który przywróci jej pełną funkcję zgryzu oraz estetykę uśmiechu.
W pierwszej kolejności przeprowadziliśmy leczenie endodontyczne, aby uratować zęby wymagające interwencji i wyeliminować stany zapalne. Następnie, w miejscach braków zębowych, wykonaliśmy zabieg implantologiczny – poprzedziliśmy go regeneracją kości, co pozwoliło stworzyć stabilne warunki do osadzenia implantów.
Po zakończeniu okresu gojenia przystąpiliśmy do etapu protetycznego. Wykonaliśmy precyzyjną odbudowę z wykorzystaniem koron cyrkonowych oraz koron licowanych porcelaną, dzięki czemu uzyskaliśmy naturalny, harmonijny efekt estetyczny, dopasowany do pozostałych zębów Pacjentki.
Efekt końcowy to pełna odbudowa uśmiechu – zarówno pod względem funkcji, jak i estetyki. Pani Katarzyna odzyskała komfort jedzenia, stabilność zgryzu oraz naturalny wygląd zębów, które nie odróżniają się od własnych.
Pani Monika
Pani Monika zgłosiła się do gabinetu z problemem braków zębowych oraz niezadowalającą estetyką uśmiechu. Zależało jej na kompleksowym leczeniu, które pozwoli nie tylko uzupełnić braki, ale także poprawić ogólny wygląd zębów w sposób naturalny i trwały.
W pierwszym etapie przeprowadziliśmy leczenie implantologiczne, które umożliwiło odtworzenie brakujących zębów i przywrócenie stabilnej podstawy zgryzu. Następnie przystąpiliśmy do etapu protetycznego, w którym wykonaliśmy korony cyrkonowe oraz licówki porcelanowe, precyzyjnie dopasowane do kształtu, koloru i proporcji pozostałych zębów.
Efekt końcowy to harmonijny, estetyczny uśmiech oraz pełna funkcjonalność uzębienia. Pani Monika odzyskała komfort codziennego życia – od swobodnego jedzenia po pewność siebie w uśmiechu, który wygląda naturalnie i spójnie.
Przeczytaj opinie naszych Pacjentów
Najlepszą rekomendacją są słowa naszych Pacjentów. To ich doświadczenia i opinie budują nasze zaufanie – nie obietnice. Przeczytaj, jak oceniają leczenie, opiekę oraz atmosferę w Nie Boli i przekonaj się, dlaczego wracają do nas od lat.
Dlaczego Pacjenci nas wybierają?
Stawiamy na nowoczesną stomatologię opartą na doświadczeniu, precyzyjnej diagnostyce i indywidualnym planowaniu leczenia. Każdy przypadek analizujemy kompleksowo – z uwzględnieniem funkcji, zdrowia i estetyki uśmiechu. Leczenie prowadzimy w oparciu o sprawdzone protokoły oraz zaawansowane technologie, co pozwala osiągać przewidywalne i trwałe efekty.